NEW VisionButler™
Let’s do it better….
Simple, Clear, Efficient, Autoclavable, Safe
‘Designed by dentists for dentists’
Autoclavable Lip & Cheek retractor ”You don’t need eyes to see, you need vision“
Autoclavable Re-Usable, eco-friendly, Photo-Contraster, Lip and Cheek Retractor. We want to present a new tool for dentists: economical, practical, versatile and comfortable, to improve your workflow and efficiency, save time, reduce clinical waste and significantly eliminate repeated costs. Made of an autoclavable medical silicone that has been tried and verified, the VisionButler has many applications.
- Eco-friendly and cost-effective, it will replace single-use retractors, saving packaging, clinical waste, and postage. The more you use it, the more you will save.
- Hands-free lip and cheek retraction and soft tissue isolation of lips and cheeks.
- Protection of lips from inadvertent sharps and rotaries. Yes, it can happen to anyone !!
- Open wide: Holds the mouth open passively and is comfortable for long durations.
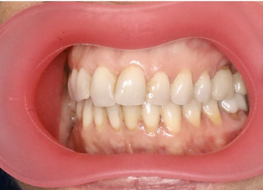
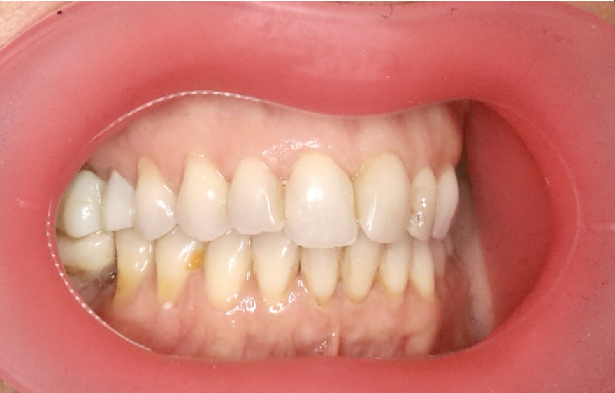
APPLICATIONS: Photo-contraster: Made with a Translucent Pink or Satin Black smooth surface to reduce the flare and glare of flash photography, the soft silicone will hold the lips and cheeks away from the teeth and gums. The oval retraction of the labial tissues can be adjusted simply with manual tension, and the gentle engagement of the fitting surface intra-orally allows the patient to close their mouth without the VisionButler being dislodged.
- Orthodontics: Bracket placement or imaging made easy –
- Bonding: Keeps soft tissues away and allows easy access to anteriors
- Hygienist: VisionButler will allow the hygienist to work with the patient’s lips comfortably retracted, allowing easy access for the suction system of choice.
- Whitening: In-office procedures require protection of the lips and labial soft tissues for the duration of the procedure. VisionButler will hold the mouth open and keep the lips away during the whole procedure.
- Digital Imaging: All digital imaging is made easier if soft tissues of the lips and cheeks are kept out the field of view
- Restorative Dentistry: Preparing and cementing composites and porcelain crowns/veneers requires controlling the soft tissues of the lips and cheeks. It is like having a spare set of hands.
Specifications
- Easy to place and no hard rims to pressure vulnerable soft tissue structures such as the frenum.Holds in place even when the patient swallows inadvertently. Autoclavable for repeated use, saving clinical waste and reducing the carbon footprint of single-use options.Processing: The VisionButler can be placed in an ultrasonic bath, washer-disinfector and pouched as required for autoclave in a standard self-seal pouch or a 3D Deep Pouch ( supplied by www.steriliu.com ).
IFU VisionButler
VisionButler Instructions For Use (IFUs)
VisionButler Lip and Cheek Retractor Small, Medium, Large -( 3 sizes)

VISIONBUTLER PINK

VISIONBUTLER PINK

Anterior View. Note that the retractor can be inverted top to bottom to fit best with the frenum and the clinical needs
VisionButler Lip and Cheek Retractor Large (VisionB.L)

VisionButler Large

VisionButler has varied morphology on the upper sulcus flange and lower sulcus flange

This gives the option to accommodate your patient

VISIONBUTLER PINK